Latest Highlights

LiteTracker

Leveraging Temporal Causality for Accurate Low-latency Tissue Tracking

MICCAI 2025

HyperSORT

Self-Organising Robust Training with hyper-networks

MICCAI 2025

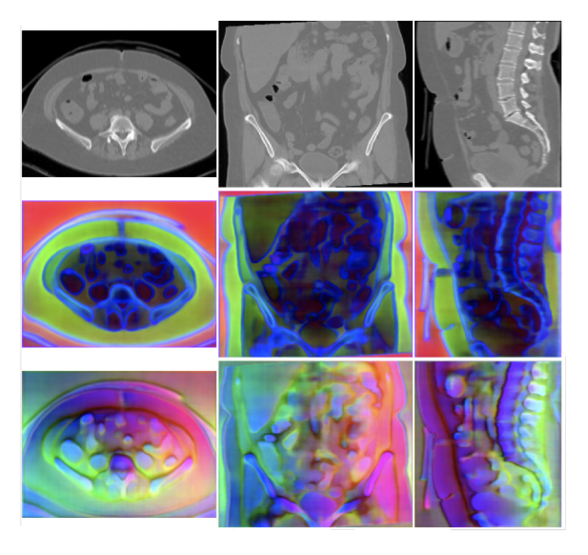
FLex

Joint Pose and Dynamic Radiance Fields Optimization for Stereo Endoscopic Videos

IJCARS 2025

Beyond Shadows

Learning Physics-inspired Ultrasound Confidence Maps from Sparse Annotations

MICCAI 2025

DualTrack

Sensorless 3D Ultrasound Needs Local and Global Context – Winner of the TUS-REC 2025 challenge

MICCAI ASMUS 2025

VoxelFeat

Voxel-wise foundation model features

MIDL 2025

ImplicitMeshNet

Deep Implicit Neural Representations for End-to-End Anatomical Shape Estimation from Volumetric Images

MIDL 2025

Publications

Full list of our scientific and clinical publications

2025

Design and Effectiveness of Virtual Monitors and AR-Based Endoscope Control for Robotically Assisted Laparoscopic Surgery

N. Budjakoski, D. Schneider, T. Song, M. Sommersperger, B. Weber, N. Navab, J. Klodmann

Point Tracking in Surgery—The 2024 Surgical Tattoos in Infrared (STIR) Challenge

The relationship between structures affecting maxillary sinus ventilation and maxillary sinus volume: a CT study

A. Schmidt, M. A. Karaoglu, S. Sinha, M. Jang, H.-G. Ha, K. Jung, K. Gu, I. Ullah, H. Lee, J. Šerých, M. Neoral, J. Matas, R. Zhou, W. He, A. Wang, H. Ren, B. Silva, S. Queirós, E. Lima, J. L. Vilaça, S. Kikuchi, A. Kouno, H. Matsuzaki, T. Li, Y. Chen, L. Li, X. Ma, X. Li, M. S. Zeinoddin, X. Wang, Z. Tandogdu, G. Shaw, E. Mazomenos, D. Stoyanov, Y. Chen, Z. Wu, A. Ladikos, S. DiMaio, S. E. Salcudean, O. Mohareri

arXiv preprint arXiv:2503.24306, 2024

H. Xu, A. Weld, C. Xu, A. Roddan, J. Cartucho, M. A. Karaoglu, A. Ladikos, Y. Li, Y. Li, D. Shen, S. Yang, G. Lee, S. Park, J. Shin, Y.-G. Kim, L. Fothergill, D. Jones, P. Valdastri, D. Sarikaya, S. Giannarou

arXiv preprint arXiv:2501.02990, January 2025

N. Schischka, H. Schieber, M. A. Karaoglu, M. Görgülü, F. Grötzner, A. Ladikos, D. Roth, N. Navab, B. Busam

IEEE Robotics and Automation Letters, 2024

O. Tmenova, Y. Velikova, M. Saleh, N. Navab

International Conference on Medical Image Computing and Computer-Assisted Intervention (MICCAI) 2024

D. John, J. Chen, C. Gaßner, S. Savatović, L. M. Petzold, S. Wirtensohn, M. Riedel, J. U. Hammel, J. Moosmann, F. Beckmann, M. Wieczorek, J. Herzen

arXiv preprint arXiv:2408.00482, 2024

S. Joutard, M. Pietsch, R. Prevost

International Conference on Medical Image Computing and Computer-Assisted Intervention (MICCAI) 2024

F. P. Stilz, M. A. Karaoglu, F. Tristram, N. Navab, B. Busam, A. Ladikos

1st Workshop on Neural Fields Beyond Conventional Cameras, ECCV, September 2024

Video-CT MAE: Self-Supervised Video-CT Domain Adaptation for Vertebral Fracture Diagnosis

L. Buess, M. F. Stollenga, D. Schinz, B. Wiestler, J. Kirschke, A. Maier, N. Navab, M. Keicher

In Proceedings of Medical Imaging with Deep Learning, 2024

M. Aichholzer, P. Rauch, L. Kastler, J. Pichler, K. Aufschnaiter-Hiessböck, F. Ruiz-Navarro, S. Aspalter, S. Hartl, W. Schimetta, P. Böhm, I. Manakov, W. Thomae, M. Gmeiner, A. Gruber, H. Stefanits

Operative Neurosurgery, Vol. 26, No. 6, pp. 645-654, June 2024

High-Resolution Phase-Contrast Imaging for Large Samples at Synchrotron Sources with Time-Varying Beam Profiles

D. John, J. Chen, C. Gassner, L. Petzold, M. Riedel, J. U. Hammel, J. Moosmann, F. Beckmann, J. Herzen

International Symposium on Medical Applications of X-Ray Phase-Contrast and Photon-Counting (IMXP), June 2024

M. A. Karaoglu, V. Markova, N. Navab, B. Busam, A. Ladikos

Proceedings of the 2024 IEEE International Conference on Robotics and Automation (ICRA), IEEE

J. Chen, V. Nguyen, V. Stehl, M. Al Kallaa, M. Thalwaththe Gedara, A. Harbecke, S. Moser, M. Seidl, M. Wieczorek

6th International Conference on X-ray and Neutron Phase Imaging with Gratings (XNPIG), April 2024

Surface Microscopic Techniques for Distortion-Free Digital Pathology

M. Al Kallaa, V. Stehl, J. Chen, M. Wieczorek, M. Thalwaththe Gedara, S. Moser, V. Heusinger-Heß, M. Seidl

107. Jahrestagung der Deutschen Gesellschaft für Pathologie, May 2024

Identification of Relevant Tumor Tissue Structures and Corresponding Metastasis Over Deep Learning of Annotated µCT Data

V. Stehl, J. Chen, M. Thalwaththe Gedara, M. Al Kallaa, C. Lölkes, M. Wieczorek, V. Heusinger-Hess, M. Olbinado, V. Novak, M. Seidl

107. Jahrestagung der Deutschen Gesellschaft für Pathologie, May 2024

P. Rauch, M. Aichholzer, C. Serra, O. Zanier, V. E. Staartjes, P. Böhm, G. Seyer, H. Wagner, I. Manakov, M. Sonnberger, N. Stroh, S. Aspalter, K. Aufschnaiter-Hiessböck, T. Rossmann, A. Leibetseder, S. Katletz, A. Gruber, M. Gmeiner, H. Stefanits

Neurosurgical Focus, V: 56, I: 2, 2024, S. E5

The Global Track Concept for Assessment of Engaging Hill-Sachs Defects in Anterior Shoulder Instability

P. Moroder, D. Akguen, A. Paksoy, H. Gebauer, N. Barthod-Tonnot, M. Lupetti, V. Markova, O. Zettinig, S. Parada, K. Karpinski

The American Journal of Sports Medicine, V: 52, I: 5, pp. 1292-1298, 2024

M. F. Azampour, M. Tirindelli, J. Lameski, M. Gafencu, E. Tagliabue, E. Fatemizadeh, I. Hacihaliloglu, N. Navab

Medical Physics, Vol. 51, No. 3, pp. 2044-2056, March 2024

K. Karpinski, D. Akguen, H. Gebauer, A. Paksoy, M. Lupetti, V. Markova, O. Zettinig, and P. Moroder

Orthopaedic Journal of Sports Medicine, Volume 12, Issue 2, February 2024

M. Ronchetti, W. Wein, N. Navab, O. Zettinig, R. Prevost

Computer Vision and Pattern Recognition–MICCAI 2023

V. Bürgin, R. Prevost, M. F. Stollenga

Image and Video Processing, July 2023

J. Chen, V. Nguyen, V. Stehl, M. Al Kallaa, M. Thalwaththe Gedara, A. Harbecke, S. Moser, M. Seidl, M. Wieczorek

International Symposium on Medical Applications of X-Ray Phase-Contrast and Photon-Counting (IMXP), July 2023

P. Rauch, H. Stefanits, M. Aichholzer, C. Serra, D. Vorhauer, H. Wagner, P. Böhm, S. Hartl, I. Manakov, M. Sonnberger, E. Buckwar, F. Ruiz-Navarro, K. Heil, M. Glöckel, J. Oberndorfer, S. Spiegl-Kreinecker, K. Aufschnaiter-Hiessböck, S. Weis, A. Leibetseder, W. Thomae, T. Hauser, C. Auer, S. Katletz, A. Gruber, M. Gmeiner

Scientific Reports volume 13, Article number: 9494, June 2023

V. Stehl, M. Al Kallaa, A. Harbecke, J. Chen, M. Wieczorek, M. Thalwaththe Gedara, S. Moser, V. Heusinger-Heß, M. Seidlo

106. Jahrestagung der Deutschen Gesellschaft für Pathologie, June 2023

T. Rotha, B. Sigrist, M. Wieczorek, N. Schilling, S. Hodel, J. Walker, M. Somm, W. Wein, R. Sutter, L. Vlachopoulos, J. G. Snedeker, S. F. Fucentese, P. Fürnstahl, F. Carrillo

Computer Assisted Surgery, May 2023

C. Gebhardt, L. Göttling, L. Buchberger, C. Ziegler, F. Endres, Q. Wuermeling, B. M. Holzapfel, W. Wein, F. Wagner, O. Zettinig

International Journal of Computer Assisted Radiology and Surgery, April 2023

T. Horstmann, O. Zettinig, W. Wein, R. Prevost

Medical Imaging with Deep Learning — MIDL 2022

M. Ronchetti, J. Rackerseder, M. Tirindelli, M. Salehi, N. Navab, W. Wein, O. Zettinig

Medical Image Computing and Computer-Assisted Intervention–MICCAI 2022

V. Markova, M. Ronchetti, W. Wein, O. Zettinig, R. Prevost

Medical Image Computing and Computer-Assisted Intervention–MICCAI 2022

Z. Jiang, Z. Li, M. Grimm, M. Zhou, M. Esposito, W. Wein, W. Stechele, T. Wendler, Nassir Navab

IEEE Transactions on Industrial Electronics, Volume: 69, Issue 7, July 2022

L. Wagner, L. Bernhard, J. Fuchtmann, M. A. Karaoglu, A. Ladikos, H. Feußner, D. Wilhelm

Current Directions in Biomedical Engineering 2022;8(1): 25-29, 2022

P. Pandey, B. Hohlmann, P. Broessner, I. Hacihaliloglu, K. Barr, T. Ungi, O. Zettinig, R. Prevost, G. Dardenne, Z. Fanti, W. Wein, E. Stindel, F. Arambula Cosio, P. Guy, G. Fichtinger, K. Radermacher, A. Hodgson

Accepted for CAOS 2022

M. A. Karaoglu, N. Brasch, M. Stollenga, W. Wein, N. Navab, F. Tombari, and A. Ladikos

International Conference on Medical Image Computing and Computer-Assisted Intervention (MICCAI), Strasbourg, France, September 2021

E. Angel-Raya, C. Chalopin, J. G. Avina-Cervantes, I. Cruz-Aceves, W. Wein, D. Lindner

The International Journal of Medical Robotics and Computer Assisted Surgery, Volume 17, Issue 6, August 2021

T. Roth, F. Carrillo, M. Wieczorek, G. Ceschi, H. Esfandiari, R. Sutter, L. Vlachopoulos, W. Wein, SF. Fucentese, and P. Fürnstahl

Insights Imaging 12, 44, 2021

J.M. Guerra, M. Mustafa, T. Pandeva, F.A. Pinto, P. Matthies, J. Brosch-Lenz, M. Stollenga, O. Perret, A. Ladikos, S. Ziegler, A. Todica, G. Böning, N. Navab, S.G. Nekolla, W.A. Weber, T. Wendler

Nuklearmedizin 2021; 60(02): 160, 2021

W. Wein, M. Lupetti, O. Zettinig, S. Jagoda, M. Salehi, V. Markova, D. Zonoobi, and R. Prevost

International Conference on Medical Image Computing and Computer-Assisted Intervention (MICCAI), Lima, Peru, September 2020

Y. Özbek, M. Vogele, C. Plattner, P. Costa, and M. Griesser and M. Wieczorek

Current Directions in Biomedical Engineering, Volume 6, Issue 1, 20200020, eISSN 2364-5504

A novel method for 2D/3D registration between non-weight-bearing 3D CT-reconstructed models and weight-bearing plain radiographs for preoperative planning in lower limb realignment surgery

T. Roth, M. Wieczorek, G. Ceschi, W. Wein, R. Sutter, S. Fucentese, and P. Fürnstahl

Swiss Orthopaedics Jahreskongress (SGOT), Swiss, August 2020

Deep Learning Acceleration of OS-SIRT in X-Ray Cone-Beam Computed Tomography

S. Haninger, M. Wieczorek, W. Wein, and T. Lasser

International Conference on Image Formation in X-Ray Computed Tomography, Regensburg, Germany, July 2020

Y. Xiao, H. Rivaz, M. Chabanas, M. Fortin, I. Machado, Y. Ou, M. Heinrich, J. Schnabel, X. Zhong, A. Maier, W. Wein, R. Shams, S. Kadoury, D. Drobny, M. Modat, I. Reinertsen

IEEE Transactions on Medical Imaging, Vol. 39, Issue: 3 (March 2020)

S.-A. Ahmadi, K. Bötzel, J. Levin, J. Maiostre, T. Klein, W. Wein, V. Rozanski, O. Dietrich, B. Ertl-Wagner, N.. Navab, A. Plate

NeuroImage: Clinical, Volume 26, Art. Nr. 102185 (2020)

S. Rogers, J. Carreira, R. Thompson, A. Morais, C. Miller, W. Wein, J. Ghosh, C. McCollum

Ultrasound Med Biol. Volume 45, Issue 10, p2591-2854, 2019

D.H. Iversen, W. Wein, F. Lindseth, G. Unsgård. I. Reinertsen

World Neurosurgery, accepted / in press

M. Wieczorek, F. Schaff, Ch. Jud, D. Pfeiffer, F. Pfeiffer, T. Lasser

Scientific Reports Volume 8, Article number: 14345 (2018)

J. Esteban, W. Simson, S. Requena, A. Rienmüller, S. Virga, O. Zettinig, B. Frisch, S. Drazen, Y.-M. Ryang , N. Navab, C. Hennersperger

International Journal of Computer Assisted Radiology and Surgery, 13 (6) 895-904, 2018

O. Zettinig, M. Salehi, R. Prevost, W. Wein

Proceedings of MICCAI Workshop Point-of-Care Ultrasound: Algorithms, Hardware, and Applications (POCUS), Granada, Spain, September 2018

W. Wein

Proceedings of MICCAI Challenge for Correction of Brainshift with Intra-Operative UltraSound (CuRIOUS), Granada, Spain, September 2018

C. Schulte zu Berge, M. Salehi, F. Bender, W. Wein

Eurographics Workshop on Visual Computing in Biology and Medicine 2018, Granada, Spain, September 2018

R. Prevost, M. Salehi, S. Jagoda, N. Kumar, J. Sprung, A. Ladikos, R. Bauer, O. Zettinig, W. Wein

Medical Image Analysis, Volume 48, 187-202, August 2018

R. Prevost, M. Salehi, J. Sprung, A. Ladikos, R. Bauer, W. Wein

International Conference on Medical Image Computing and Computer-Assisted Intervention (MICCAI), Quebec City, Canada, September 2017

M. Salehi, R. Prevost, J.-L. Moctezuma, N. Navab, W. Wein

International Conference on Medical Image Computing and Computer-Assisted Intervention (MICCAI), Quebec City, Canada, September 2017

I. Reinertsen, D. H. Iversen, F. Lindseth, W. Wein, G. Unsgard

Intraoperative Imaging Society Conference 2017, Hanover, Germany, May 2017

J. Fotouhi, B. Fuerst, W. Wein, N. Navab

International Journal of Computer Assisted Radiology and Surgery / International Conference on Information Processing in Computer-Assisted Interventions (IPCAI), 2017

O. Zettinig, J. Rackerseder, B. Lentes, T. Maurer, K. Westenfelder, M. Eiber, B. Frisch, N. Navab

IEEE International Symposium on Biomedical Imaging (ISBI), Melbourne, April 2017

R. Kojcev, A. Khakzar, B. Fuerst, O. Zettinig, C. Fakhry, R. DeJong, J. Richmon, R. Taylor, E. Sinibaldi, N. Navab

International Conference on Information Processing in Computer-Assisted Interventions (IPCAI), 2017

O. Zettinig, B. Frisch, S. Virga, M. Esposito, A. Rienmaller, B. Meyer, C. Hennersperger, Y.-M. Ryang , N. Navab

International Journal of Computer Assisted Radiology and Surgery, in press, 1536-2, 2017

C. Hennersperger, B. Fuerst, S. Virga, O. Zettinig, B. Frisch, T. Neff, N. Navab

IEEE Transactions on Medical Imaging, vol. 36, iss. 2, 2017

O. Zettinig, B. Fuerst, R. Kojcev, M. Esposito, M. Salehi, W. Wein, J. Rackerseder, B. Frisch, N. Navab

IEEE International Conference on Robotics and Automation (ICRA), Stockholm, Sweden, May 2016

S. Virga, O. Zettinig, M. Esposito, K. Pfister, B. Frisch, T. Neff, N. Navab, C. Hennersperger

IEEE/RSJ International Conference on Intelligent Robots and Systems (IROS) 2016, pp. 508-513, 2016

R. Kojcev, B. Fuerst, O. Zettinig, J. Fotouhi, S.C. Lee, B. Frisch, R. Taylor, E. Sinibaldi, N. Navab

International Journal of Computer Assisted Radiology and Surgery, vol. 11, iss. 6, pp. 1173-1181, 2016

M. Salehi, S.A. Ahmadi, R. Prevost, N. Navab, W. Wein

International Conference on Medical Image Computing and Computer-Assisted Intervention (MICCAI), Munich, Germany, October 2015

W. Wein, A. Karamalis, A. Baumgartner, N. Navab

International journal of computer assisted radiology and surgery 10 (6), 971-979

M. Müller, L.E.S. Helljesen, R. Prevost, I. Viola, K. Nylund, O.H. Gilja, N. Navab, W. Wein

VCBM 14: Eurographics Workshop on Visual Computing for Biology and Medicine, ISBN 978-3-905674-62-0

B. Fuerst, W. Wein, M. Müller, N. Navab

Medical image analysis 18.8 (2014): 1312-1319

W. Wein, A. Ladikos, B. Fuerst, A. Shah, K. Sharma, N. Navab

Proceedings of the 16th International Conference on Medical Image Computing and Computer Assisted Interventions (MICCAI), Nagoya, Japan, September 2013

W. Wein, A. Ladikos

12th International Meeting on Fully Three-Dimensional Image Reconstruction in Radiology and Nuclear Medicine, Lake Tahoe, USA, June 2013

A. Ladikos, W. Wein

SPIE Medical Imaging, San Diego, USA, February 2012

A. Aichert, W. Wein, A. Ladikos, T. Reichl, N. Navab

Proceedings of the 15th International Conference on Medical Image Computing and Computer Assisted Interventions (MICCAI), Nice, France, October 2012

2025

W. Ndzimbong, C. Fourniol, L. Themyr, N. Thome, Y. Keeza, B. Sauer, P.-T. Piéchaud, A. Méjean, J. Marescaux, D. George, D. Mutter, A. Hostettler, T. Collins

Scientific Data, Vol. 12, Article No. 615, 2025

The relationship between structures affecting maxillary sinus ventilation and maxillary sinus volume: a CT study

M. Güven, D. A. Saygin, I. I. Uysal, G. D. Emlik

Surgical and Radiologic Anatomy, Vol. 47, No. 1, pp. 1-11, 2025

Y. Ao, H. Esfandiari, F. Carrillo, C. J. Laux, Y. As, R. Li, K. Van Assche, A. Davoodi, N. A. Cavalcanti, M. Farshad, B. F. Grewe, E. Vander Poorten, A. Krause, P. Fürnstahl

Medical Image Analysis, Vol. 99, pp. 103345, 2025

W. Ndzimbong, N. Thome, C. Fourniol, Y. Keeza, B. Sauer, J. Marescaux, D. George, A. Hostettler, T. Collins

International Journal of Computer Assisted Radiology and Surgery, pp. 1-11, 2024

Ultrasound Confidence Maps with Neural Implicit Representation

V. B. Yesilkaynak, V. G. Duque, M. Wysocki, Y. Velikova, D. Mateus, N. Navab

Annual Conference on Medical Image Understanding and Analysis, pp. 89-100, 2024

B. E. Vindstad, A. J. Skjulsvik, L. K. Pedersen, E. M. Berntsen, O. S. Solheim, T. Ingebrigtsen, I. Reinertsen, H. Johansen, L. Eikenes, A. M. Karlberg

Cancers, Vol. 16, No. 14, 2024

P. Feodorovici, H. Bonsmann, P. Schnorr, D. Zalepugas, B. Bedetti, H. Menghesha, J. Schmidt, J. Arensmeyer

Zentralblatt für Chirurgie-Zeitschrift für Allgemeine, Viszeral-, Thorax-und Gefäßchirurgie, Vol. 149, No. S 01, pp. V-221, 2024

Evaluating Age-Related Anatomical Consistency in Synthetic Brain MRI against Real-World Alzheimer’s Disease Data

H. Yassin, J. Fehr, W. C. Lai, A. Krichevsky, A. Rakowski, C. Lippert

Medical Imaging with Deep Learning, 2024

M. C. Wong, J. P. Bennett, L. T. Leong, Y. E. Liu, N. N. Kelly, J. Cherry, K. Kloza, B. Li, S. Iuliano, J. Sibonga, et al.

npj Microgravity, Vol. 10, No. 1, p. 72, 2024

V. G. Duque, A. Marquardt, Y. Velikova, L. Lacourpaille, A. Nordez, M. Crouzier, H. J. Lee, D. Mateus, N. Navab

International Journal of Computer Assisted Radiology and Surgery, pp. 1-9, Springer, May 25, 2024

M. Emendi, G. A. Tangen, P. Di Giovanni, H. Ulsaker, R. Brekken, F. Manstad-Hulaas, V. Prot, A. Bel-Brunon, K. H. Støverud

International Journal of Computer Assisted Radiology and Surgery, 2024, pp. 1-9. Springer

Z. Jiang, Y. Kang, Y. Bi, X. Li, C. Li, N. Navab

arXiv preprint arXiv:2406.04100, 2024

A. S. Gersing, M. A. Kimm, C. Bollwein, P. Ilg, C. Mogler, F. G. Gassert, G. C. Feuerriegel, C. Knebel, K. Woertler, D. Pfeiffer, M. Busse, F. Pfeiffer

European Radiology Experimental, V: 8, I: 1, p. 58, 2024

Autonomous Needle Navigation in Subretinal Injections via iOCT

P. Zhang, J. W. Kim, P. Gehlbach, I. Iordachita, M. Kobilarov

IEEE Robotics and Automation Letters, 2024

J. Narula, T. D. Stuckey, G. Nakazawa, A. Ahmadi, M. Matsumura, K. Petersen, S. Mirza, N. Ng, S. Mullen, M. Schaap, et al.

European Heart Journal – Cardiovascular Imaging, jeae115, Published: 03 May 2024

3D Ultrasound Mosaic of the Whole Shoulder: A Feasibility Study

A. Sewify, M. Antico, M. Steffens, J. Roots, A. Gupta, K. Cutbush, P. Pivonka, D. Fontanarosa

Applied Sciences, V: 14, I: 5, 2024, pp. 2152

A. Ranne, L. Kuang, Y. Velikova, N. Navab, F. Rodriguez y Baena

arXiv preprint arXiv:2403.14465, 2024

M. R. Bujotzek, Ü. Akünal, S. Denner, P. Neher, M. Zenk, E. Frodl, A. Jaiswal, M. Kim, N. R. Krekiehn, M. Nickel, et al.

arXiv preprint arXiv:2405.09409, 2024

M. Steinhardt, A. W. Marka, S. Ziegelmayer, M. Makowski, R. Braren, M. Graf, J. Gawlitza

Bioengineering, Vol. 11, No. 4, p. 301, MDPI, 2024

Transformer-Based Local Feature Matching for Multimodal Image Registration

R. Delaunay, R. Zhang, F. C. Pedrosa, N. Feizi, D. Sacco, R. V. Patel, J. Jagadeesan

Medical Imaging 2024: Image Processing, Vol. 12926, pp. 138-143. SPIE, 2024

S. Hodel, T. Arn-Roth, F. Haug, F. Carillo, L. Vlachopoulos, S. F. Fucentese, P. Fürnstahl

Archives of Orthopaedic and Trauma Surgery, Vol. 144, No. 5, pp. 1989-1996. Springer, 2024

Ultra-NeRF: Neural Radiance Fields for Ultrasound Imaging

M. Wysocki, M. F. Azampour, C. Eilers, B. Busam, M. Salehi, N. Navab

Medical Imaging with Deep Learning, pp. 382-401. January 2024. PMLR

CACTUSS: Common Anatomical CT-US Space for US Examinations

Y. Velikova, W. Simson, M. F. Azampour, P. Paprottka, N. Navab

International Journal of Computer Assisted Radiology and Surgery, 1-9. 2024

A. Z. Kutlu, G. M. Minesinger, P. F. Laeseke, M. Speidel, M. G. Wagner

Journal of Applied Clinical Medical Physics, e14329, Wiley Online Library, 2024

Shape Completion in the Dark: Completing Vertebrae Morphology from 3D Ultrasound

M. A. Gafencu, Y. Velikova, M. Saleh, T. Ungi, N. Navab, T. Wendler, M. F. Azampour

International Journal of Computer Assisted Radiology and Surgery, 1-9. 2024

Multitask Weakly Supervised Generative Network for MR-US Registration

M. F. Azampour, K. Mach, E. Fatemizadeh, B. Demiray, K. Westenfelder, K. Steiger, … N. Navab

IEEE Transactions on Medical Imaging. 2024

Validation of a Three-Dimensional Weight-Bearing Measurement Protocol for Medial Open-Wedge High Tibial Osteotomy

S. Hodel, J. Hasler, T. A. Roth, A. Flury, C. Sutter, S. F. Fucentese, P. Fürnstahl, L. Vlachopoulos

Journal of Clinical Medicine, Vol. 13, No. 5, p. 1280, MDPI, 2024

S. Hodel, J. Hasler, T. A. Roth, A. Flury, C. Sutter, S. F. Fucentese, P. Fürnstahl, L. Vlachopoulos

Journal of Clinical Medicine, Vol. 13, No. 5, p. 1280, MDPI, 2024

Towards Safe and Collaborative Robotic Ultrasound Tissue Scanning in Neurosurgery

M. Dyck, A. Weld, J. Klodmann, A. Kirst, L. Dixon, G. Anichini, S. Camp, A. Albu-Schäffer, S. Giannarou

IEEE Transactions on Medical Robotics and Bionics, 2024

Path Re-planning for Robotic Ultrasound Imaging of Bony Structures

K. Van Assche, A. Davoodi, R. Li, M. Ourak, E. Vander Poorten

Robot-Assisted Surgery (RAS) Group, July 2023

Feature-Based Electromagnetic Tracking Registration Using Bioelectric Sensing

A. Ramadani, H. Maier, F. Bourier, C. Meierhofer, P. Ewert, H. Schunkert, N. Navab

IEEE Robotics and Automation Letters, V: 8, I: 6, June 2023

Feasibility and Accuracy of Measuring Carotid Plaque Volume (Burden) With Contrast-Enhanced Tomographic 3D Ultrasound and Ultrasound Image Fusion

S.K. Rogers, A. Phair, J. Carriera, J. Ghosh, F.L. Bowling, C. McCollum

Annals of Vascular Surgery, V. 91, 168-175, April 2023

Automated robotic intraoperative ultrasound for brain surgery

M. Dyck, A. Weld, J. Klodmann, A. Kirst, G. Anichini, L. Dixon, S. Camp, S. Giannarou, A. Albu-Schäffer

ICRA-RAMI workshop, April 2023

Skeleton Graph-Based Ultrasound-CT Non-Rigid Registration

Z. Jiang, X. Li, C. Zhang, Y. Bi, W. Stechele, N. Navab

IEEE Robotics and Automation Letters, V: 8, I: 2, 2023

DOPUS-Net: Quality-Aware Robotic Ultrasound Imaging Based on Doppler Signal

Z. Jiang, F. Duelmer, N. Navab

IEEE Transactions on Automation Science and Engineering (TASE), 2023

Z. Jiang, Y. Bi, M. Zhou, Y. Hu, M. Burke, N. Navab

International Journal of Robotics Research (IJRR), 2023

MI-SegNet: Mutual Information-Based US Segmentation for Unseen Domain Generalization

Y. Bi, Z. Jiang, R. Clarenbach, R. Ghotbi, A. Karlas, N. Navab

Medical Image Computing and Computer-Assisted Intervention (MICCAI), 2023 (Best Paper Runner-Up)

DefCor-Net: Physics-Aware Ultrasound Deformation Correction

Z. Jiang, Y. Zhou, D. Cao, N. Navab

Medical Image Analysis (MedIA), 2023

Towards transcervical ultrasound image guidance for transoral robotic surgery

Chen, W., Kalia, M., Zeng, Q., Pang, E. H., Bagherinasab, R., Milner, T. D., Sabiq, F., Prisman, E., and Salcudean, S. E.

International Journal of Computer Assisted Radiology and Surgery, 1-8., April 2023

Robotic Navigation Autonomy for Subretinal Injection via Intelligent Real-Time Virtual iOCT Volume Slicing

S. Dehghani, M. Sommersperger, P. Zhang, A. Martin-Gomez, B. Busam, P. Gehlbach, N. Navab, M. A. Nasseri, I. Iordachita

IEEE International Conference on Robotics and Automation, ICRA 2023

Implicit Neural Representations for Breathing-compensated Volume Reconstruction in Robotic Ultrasound Aorta Screening

Y. Velikova, M. F. Azampour, W. Simson, M. Esposito, N. Navab

arXiv preprint arXiv:2311.04999. 2023

LOTUS: Learning to Optimize Task-based US Representations

Y. Velikova, M. F. Azampour, W. Simson, V. Gonzalez Duque, N. Navab

International Conference on Medical Image Computing and Computer-Assisted Intervention, pp. 435-445. October 2023. Cham: Springer Nature Switzerland

Self-supervised Probe Pose Regression via Optimized Ultrasound Representations for US-CT Fusion

M. F. Azampour, Y. Velikova, E. Fatemizadeh, S. P. Dakua, N. Navab

International Conference on Medical Imaging and Computer-Aided Diagnosis, pp. 111-121. December 2023. Singapore: Springer Nature Singapore

Assessment of thoracic spinal curvatures in static postures using spatially tracked 3D ultrasound volumes: a proof-of-concept study

L. Meszaros-Beller, M. Antico, D. Fontanarosa, P. Pivonka

Physical and Engineering Sciences in Medicine, 46, 197–208, January 2023

Navigation protocol configuration based on data from transverse imaging methods for the precise placement of radioactive source in patients undergoing brachytherapy

D. A. Liakopoulos

University of Crete, Medical and Health Sciences, Clinical Medicine, Ophthalmology, 2023

A tool for high-resolution volumetric optical coherence tomography by compounding radial-and linear acquired B-scans using registration

C. M. Bosch, C. Baumann, S. Dehghani, M. Sommersperger, N. Johannigmann-Malek, K. Kirchmair, M. Maier, M. A. Nasseri

Sensors, 22(3), 1135, 2022

Learning-Based US-MR Liver Image Registration with Spatial Priors

Q. Zeng, S. Mohammed, E. H. T. Pang, C. Schneider, M. Honarvar, J. Lobo, C. Hu, J. Jago, G. Ng, R. Rohling, S. E. Salcudean

Medical Image Computing and Computer Assisted Intervention – MICCAI 2022 pp 174–184, September 2022

CACTUSS: Common Anatomical CT-US Space for US Examinations

Y. Velikova, W. Simson, M. Salehi, M. F. Azampour, P. Paprottka, N. Navab

Medical Image Computing and Computer Assisted Intervention – MICCAI 2022

Precise Repositioning of Robotic Ultrasound: Improving Registration-Based Motion Compensation Using Ultrasound Confidence Optimization

Z. Jiang, N. Danis, Y. Bi, M. Zhou, M. Kroenke, T. Wendler, N. Navab

IEEE Transactions on Instrumentation and Measurement, V: 71, August 2022

Tracked 3D ultrasound and deep neural network-based thyroid segmentation reduce interobserver variability in thyroid volumetry

M. Krönke, C. Eilers, D. Dimova, M. Köhler, G. Buschner, L. Schweiger, L. Konstantinidou, M. Makowski, J. Nagarajah, N. Navab, W. Weber, T Wendler

PLoS ONE 17(7): e0268550, July 2022

3D osteotomies—improved accuracy with patient-specific instruments (PSI)

M. Jörgens, A. M. Keppler, P. Ahrens, W. C. Prall, M. Bergstraesser, A. T. Bachmeier, C. Zeckey, A. C. Kußmaul, W. Böcker, J. Fürmetz

European Journal of Trauma and Emergency Surgery, July 2022

How are Lung Volume and Respiratory Muscles Affected in Non-Severe Patients With Covid-19?

I. Ucar, M. S. Cosgun, F. Cankal, C. Kararti, E. Kurtoglu, A. Payas, D. Patat, M. Nisari

MEDICAL RECORDS-International Medical Journal, 4(2):203-8, 2022

Bioelectric Registration of Electromagnetic Tracking and Preoperative Volume Data

A. Ramadani, H. Maier, F. Bourier, C. Meierhofer, P. Ewert, H. Schunkert, N. Navab

Medical Physics, June 2022

Endoscopic measurement of nasal septum perforations

J.-C. Rosenthal, E. L. Wisotzky, C. Matuschek, M. Hobl, A. Hilsmann, P. Eisert, F. C. Uecker

HNO, 70(1), pp.1-7, 2022

Precise Repositioning of Robotic Ultrasound: Improving Registration-Based Motion Compensation Using Ultrasound Confidence Optimization

Z. Jiang, N. Danis, Y. Bi, M. Zhou, M. Kroenke, T. Wendler, N. Navab

IEEE Transactions on Instrumentation and Measurement, V: 71, pp. 1-11, 2022

Assessment of spinal curvatures in static postures using localized 3D ultrasound: A proof-of-concept studylocalized 3D ultrasound: A proof-of-concept study

L. Meszaros-Beller, M. Antico; D. Fontanarosa, P. Pivonka

Queensland University of Technology, 2022

Longitudinal Analysis of Disease Progression Using Image and Laboratory Data for Covid-19 Patients

F. De Benetti, V. Bentele, E. Burian, M. Makowski, N. Navab, R. Braren, T. Wendler

Bildverarbeitung für die Medizin, pp 179–184, April 2022

Motion-Aware Robotic 3D Ultrasound

Z. Jiang, H. Wang, Z. Li, M. Grimm, M. Zhou, U. Eck, S. V. Brecht, T. C. Lueth, T. Wendler, N. Navab

IEEE International Conference on Robotics and Automation (ICRA), 2021

MRI and dual-energy CT fusion anatomic imaging in Ru-106 ophthalmic brachytherapy

E. T. Detorakis, K. Perisinakis, E. Drakonaki, D. Liakopoulos, A. Tzedakis, E. Papadaki, M. K. Tsilimbaris

Brachytherapy, Volume 20, Issue 4, 828-834, 2021

Deformation-Aware Robotic 3D Ultrasound

W. Simson, M. F. Azampour, S. Sanei, N. Navab

IEEE Robotics and Automation Letters, V: 6, I: 4, 2021

Usability of Graphical Visualizations on a Tool-Mounted Interface for Spine Surgery

L. Schütz, C. Brendle, J. Esteban, S. M. Krieg, U. Eck, N. Navab

Journal of Imaging, 7(8), 159, 2021

Novel Low-Dose CT based Automatic Segmentation and Registration Framework for Liver Radioembolization Planning

J.M. Guerra, M. Mustafa, M. Krönke, N. Navab, S.G. Nekolla, W.A. Weber, T. Wendler

Nuklearmedizin; 60(02): 180-181, 2021

Ultrasound-guided Robotic Navigation with Deep Reinforcement Learning

H. Hase, M. F. Azampour, M. Tirindelli, M. Paschali, W. Simson, E. Fatemizadeh, N. Navab

2020 IEEE/RSJ International Conference on Intelligent Robots and Systems (IROS), pp. 5534-5541. October 2020. IEEE

Bayesian CNN for Segmentation Uncertainty Inference on 4D Ultrasound Images of the Femoral Cartilage for Guidance in Robotic Knee Arthroscopy

M. Antico, F. Sasazawa, Y. Takeda, A. T. Jaiprakash, M-L. Wille, A. K. Pandey, R. Crawford, G. Carneiro, D. Fontanarosa

IEEE Volume 8, December 2020

Surgical Guidance for Removal of Cholesteatoma using a Multispectral 3D-Endoscope

E. L.Wisotzky, J. C. Rosenthal, U. Wege, A. Hilsmann, P. Eisert, F. C. Uecker

Sensors, 20(18), p.5334, 2020

Manual segmentation versus semi-automated segmentation for quantifying vestibular schwannoma volume on MRI

H. McGrath, P. Li, R. Dorent, R. Bradford, S. Saeed, S. Bisdas, S. Ourselin, J. Shapey, T. Vercauteren

International Journal of Computer Assisted Radiology and Surgery, 15:1445–1455, 2020

Novel Approach to calculate Callus Distraction Forces in Distraction Osteogenesis and Application in the Human Tibia

A. Bachmeier, R. Bader, U. Schreiber, P.H. Thaller

Z Orthop Unfall; 158(S 01): S150, 2020

Biomechanischer Einfluss einer optimierten Positionierung von Pollerschrauben auf die Primärstabilität von Nagelosteosynthesen

P. Kutschera, L. Hofer, U. Schreiber, P.H. Thaller

Z Orthop Unfall; 158(S 01): S274, 2020

Computergestützte Benchmarkstudie von Osteosyntheseplatten für die Behandlung des kindlichen proximalen Femurs

C. Fritz, A. Bachmeier, M. Kebbach, R. Bader, H. Böhm

Z Orthop Unfall; 158(S 01): S47-S48, 2020

Duplex and 3-D Tomographic Ultrasound Measures that Predict Abdominal Aortic Aneurysm Growth

M. Khan, S. Rogers, C. McCollum

European Journal of Vascular and Endovascular Surgery, Volume 58, Issue 6, SUPPLEMENT 2, e301-e302, December 2019

3D intra-operative ultrasound and MR image guidance: pursuing an ultrasound-based management of brainshift to enhance neuronavigation

M. Riva, C. Hennersperger, F. Milletari, A. Katouzian, F. Pessina, B. Gutierrez-Becker, A. Castellano, N. Navab, L. Bello

International Journal of Computer Assisted Radiology and Surgery, pp. 1711-1725, October 2017

Advanced inside-out tracking approach for real-time combination of MRI and US images in the radio-frequency shielded room using combination markers

Y. Nagaraj, C. Benedicks, P. Matthies, M. Friebe

Engineering in Medicine and Biology Society (EMBC), 2016 IEEE 38th Annual International Conference of the (pp. 2558-2561), 2016

CustusX: an open-source research platform for image-guided therapy

C. Askeland, O. Solberg, J. Bakeng, I. Reinertsen, G. Tangen, E. Hofstad, D. Iversen, C. Vapenstad, T. Selbekk, T. Lango¸, T. Hernes, H. Leira, G. Unsgard, F. Lindseth

International Journal of Computer Assisted Radiology and Surgery, vol. 11, iss. 4, pp 505-519, 2016

Preclinical usability study of multiple augmented reality concepts for K-wire placement

M. Fischer, B. Fuerst, S.C. Lee, J. Fotouhi, S. Habert, S. Weidert, E. Euler, G. Osgood, N. Navab

International Journal of Computer Assisted Radiology and Surgery, vol. 11, iss. 6, pp. 1007-1014, 2016

Ultrasound-guided neurosurgery: experiences from 20 years of cross-disciplinary research in Trondheim, Norway

T. Selbekk, O. Solheim, G. Unsgård

Neurosurg Focus, 40 (3):E2, 2016

Cooperative control with ultrasound guidance for radiation therapy

H.T. Åžen, A. Cheng, K. Ding, E. Boctor, J. Wong, I. Iordachita, P. Kazanzides

Frontiers in Robotics and AI 3, 49, 2016

Close